Cientistas brasileiros descobrem parasita responsável por mortes e infecções graves
Enfermidade tem sintomas parecidos com os da leishmaniose

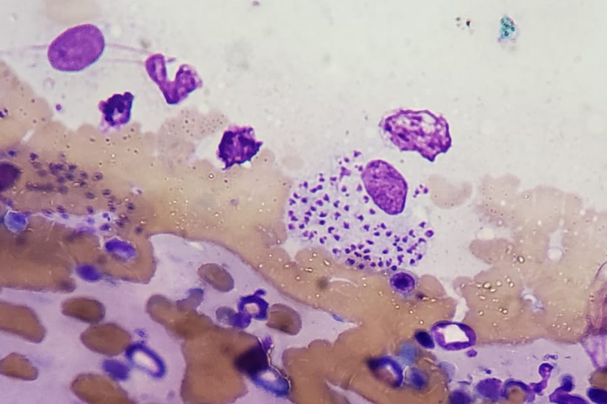
Foto: Divulgação
Um estudo publicado nesta segunda-feira (30) pela revista "Emerging Infectious Diseases", relata um parasita até agora desconhecido, apontado como o responsável por ter causado duas mortes e deixado 150 pessoas com infecções graves em Aracaju, em Sergipe. A espécie de parasita flagelado provoca os sintomas comuns da leishmaniose, mas é mais resistente aos tratamentos.
Tal descoberta foi feita a partir da comparação entre os genomas do parasita não catalogado com os do gênero Leishmania sp, que revelou que apesar da similaridade nos sintomas da doença (febre, aumento do baço e fígado e manchas avermelhadas na pele), a carga genética dele era mais parecida com a de outro parasita, o Crithidia fasciculata.
O trabalho foi desenvolvido no Centro de Pesquisa em Doenças Inflamatórias (CRID), em Ribeirão Preto, no interior de São Paulo, e teve financiamento da Fundação de Amparo à Pesquisa do Estado de S. Paulo (Fapesp).


