Ladrão engole corrente de ouro da vítima para tentar fugir de flagrante em Salvador
Caso aconteceu na tarde de sexta-feira (19), no bairro da Barra

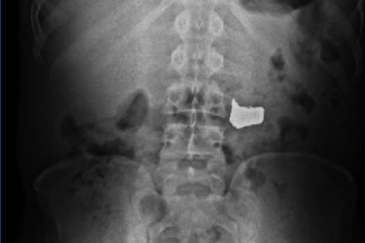
Foto: Divulgação/SSP
Um assaltante foi preso por policiais militares, após roubar uma corrente de ouro, na tarde de sexta-feira (19), no bairro da Barra, em Salvador. A captura ocorreu após uma senhora relatar o roubo e descrever as características do suspeito.
O suspeito foi encontrado e cercado na Rua Professor Lemos Brito, coincidentemente nomeada como um presídio da capital baiana. Na tentativa de escapar da prisão, o criminoso engoliu a corrente na frente dos policiais antes de ser detido.
Imediatamente, as guarnições da 11ª CIPM conduziram o suspeito à UPA dos Barris, onde os médicos realizaram um exame de Raio X, confirmando a presença da corrente. Após ser liberado da unidade de saúde, o criminoso foi encaminhado à Central de Flagrantes.


