Novo scanner de ressonância magnética revela detalhes do cérebro humano
Máquina ultrapotente, com campo magnético de 11,7 teslas, promete avanços na compreensão de doenças neurológicas e tratamentos

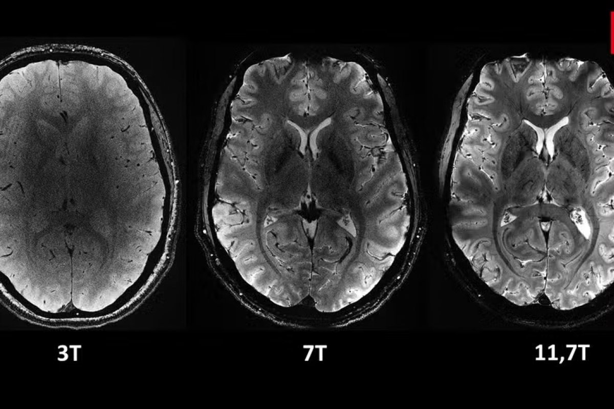
Foto: Divulgação / Comissão de Energia Atômica da França (CEA)
O mais poderoso scanner de ressonância magnética do mundo revelou as primeiras imagens detalhadas de cérebros humanos, marcando um avanço significativo na compreensão da mente e das doenças neurológicas.
Desenvolvido por pesquisadores da Comissão de Energia Atômica da França (CEA), o scanner, chamado de Iseult, foi inicialmente utilizado para escanear uma abóbora em 2021, mas agora recebeu autorização para digitalizar cérebros humanos.
Nos últimos meses, aproximadamente 20 voluntários saudáveis participaram do escaneamento em uma máquina localizada na área do Plateau de Saclay, ao sul de Paris.
O campo magnético do scanner atinge incríveis 11,7 teslas, permitindo uma precisão até 10 vezes maior do que os aparelhos convencionais, comumente utilizados em hospitais.
Com essa potência, os pesquisadores podem visualizar detalhes minuciosos do cérebro, como vasos sanguíneos no córtex cerebral e estruturas do cerebelo que antes eram quase invisíveis.
Segundo Alexandre Vignaud, físico envolvido no projeto, o nível de precisão alcançado pelo scanner é inédito e oferece novas perspectivas para a compreensão da anatomia cerebral.
A ministra da Pesquisa da França, Sylvie Retailleau, destacou a importância da tecnologia para a detecção e tratamento de patologias cerebrais, afirmando que ela proporcionará avanços significativos nesse campo.
O objetivo principal do scanner é aprofundar o entendimento da estrutura do cérebro e sua relação com as funções cognitivas, como a leitura e o cálculo mental.
Além disso, os pesquisadores esperam que o poder do scanner possa fornecer insights sobre doenças neurodegenerativas, como Parkinson e Alzheimer, bem como condições psicológicas, como depressão e esquizofrenia.
O projeto é resultado de duas décadas de pesquisa em colaboração entre engenheiros franceses e alemães, e seu potencial impacto na medicina é considerável.
Embora a máquina não seja destinada ao diagnóstico clínico, espera-se que os conhecimentos adquiridos possam ser aplicados em hospitais para beneficiar pacientes com diversas condições neurológicas.
Nos próximos meses, uma nova leva de voluntários saudáveis passará pelo escaneamento cerebral, enquanto o uso da máquina em pacientes com patologias está previsto para os próximos anos.


